في عصر تتسارع فيه التكنولوجيا نحو آفاق لا تحلم بها الأذهان، يخطو العالم خطوة جديدة نحو فهم أعمق لسرّ العقل البشري. فقد استطاع فريق من الباحثين تطوير شريحة ذكية تُزرع في الدماغ، قادرة على قراءة أفكار الإنسان وتحويلها إلى نصوص مكتوبة بدقة مذهلة. هذا الإنجاز العلمي يعيد تشكيل مفهوم التواصل بين العقل والآلة، ويفتح آفاقاً رحبة لتطبيقات طبية وتقنية قد تغير حياة الملايين حول العالم. في هذا المقال، نستعرض تفاصيل هذه الشريحة الثورية، مبدأ عملها، والتحديات التي تواجهها، بالإضافة إلى الآفاق المستقبلية التي قد ترسمها في عالم التكنولوجيا والطب.
تكنولوجيا الشريحة المزروعة في الدماغ ودورها في قراءة الأفكار
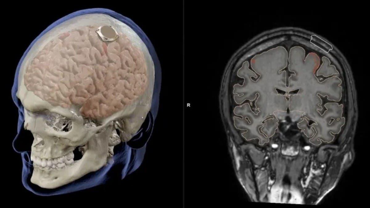
شهدت تكنولوجيا الشريحة المزروعة في الدماغ تطوراً مذهلاً في السنوات الأخيرة، حيث بات من الممكن تحويل إشارات الدماغ العصبية إلى نصوص مكتوبة بدقة متناهية. تعتمد هذه التقنية على مبدأ قراءة النشاط الكهربائي في مناطق محددة من الدماغ مرتبطة باللغة والتفكير، ومن ثم ترجمتها إلى كلمات مفهومة عبر أنظمة الذكاء الاصطناعي المتقدمة. الهدف الرئيسي من هذه التقنية هو تسهيل التواصل لدى الأشخاص الذين يعانون من صعوبات حركية أو فقدان القدرة على التعبير، مما يفتح آفاقاً جديدة لعلاج الحالات العصبية المختلفة.
تتميز الشريحة المزروعة بقدرتها على:
- قراءة الأفكار البسيطة وتحويلها إلى نصوص دون الحاجة للكلام الصريح.
- التفاعل مع أوامر المستخدم وتعديل النصوص حسب الرغبة.
- التوافق مع تقنيات الواقع المعزز والذكاء الاصطناعي لتعزيز تجربة المستخدم.
كما أن الأبحاث الحالية تركز على تقليل الأضرار الجانبية وضمان أمان النظام على المدى الطويل، مما يجعل من هذه التقنية حلاً واعداً لعالم المستقبل، حيث تصبح الأفكار جزءاً مباشراً من عملية التواصل الإلكتروني.

آفاق تحويل الأفكار إلى نصوص وتأثيرها على التواصل البشري
تشكل تقنية قراءة الأفكار وتحويلها إلى نصوص ثورة حقيقية في عالم التواصل، حيث تفتح آفاقًا جديدة لم تتاح من قبل للبشرية. هذه الشريحة المزروعة في الدماغ تمكن الأشخاص من التعبير عن أفكارهم ومشاعرهم بشكل مباشر، دون الحاجة لاستخدام الأصوات أو الحركات الجسدية التقليدية. التأثيرات المتوقعة تشمل تحسين جودة الحياة للأشخاص ذوي الإعاقات الحركية أو صعوبة الكلام، بالإضافة إلى تعزيز سرعة ودقة تبادل المعلومات في مختلف المجالات.
من الناحية الاجتماعية، قد يؤدي هذا التقدم إلى تطور نماذج جديدة للتواصل تتسم بالسرعة والخصوصية. وفيما يلي بعض الفوائد المحتملة لهذه التقنية:
- تيسير الحوار: تجاوز الحواجز اللغوية والتعبيرية.
- تعزيز الفهم: تقليل سوء التفسير من خلال نقل الأفكار بشكل مباشر.
- تمكين الأفراد: منح صوت لمن لا يستطيعون التعبير بطرق تقليدية.
| التأثير | الوصف |
|---|---|
| تعزيز الخصوصية | نقل الأفكار بشكل مباشر دون تسجيل صوت أو نص واضح |
| تسريع التواصل | تحويل الأفكار إلى نصوص فورية دون الحاجة للكتابة اليدوية أو اللفظية |
| دعم ذوي الاحتياجات الخاصة | تسهيل التفاعل مع العالم بشكل مستقل وبطرق متعددة |

التحديات التقنية والأخلاقية في استخدام شرائح الدماغ
تُطرح أمام الباحثين مجموعة من العقبات التقنية التي تصعب من عملية دمج شرائح الدماغ مع النظام العصبي البشري بكفاءة عالية. من أبرز هذه التحديات القدرة على فصل الإشارات العصبية الدقيقة وتحليلها بدقة، حيث تحتاج الأنظمة إلى التعامل مع كم هائل ومتداخل من المعلومات العصبية التي تختلف باختلاف الأفراد والحالات الذهنية. إلى جانب ذلك، توجد معضلة في توفير الطاقة والتأكد من أن الشريحة لا تتسبب في أضرار حرارية أو ميكانيكية للدماغ، فضلاً عن ضرورة تصميمها بحيث تبقى مستقرة وفعالة لفترات طويلة دون الحاجة إلى استبدالها أو صيانتها بشكل متكرر.
على الصعيد الأخلاقي، يثير استخدام تقنيات التحويل بين الأفكار والنصوص تساؤلات مهمة حول الخصوصية والتحكم في البيانات العصبية. فكيف يمكن ضمان أن تُستخدم هذه الشرائح في إطار يحترم حريات الأفراد وحقوقهم؟ هناك مخاوف من استغلال المعلومات الخاصة التي يتم التقاطها، ما قد يؤدي إلى فقدان السيطرة على أفكار الإنسان أو التلاعب بها.
- حماية المعلومات الشخصية من الاختراق
- منع الاستخدام غير المصرح به للأفكار المكتشفة
- التأكد من موافقة المستخدم بشكل واعي ومستنير
بالإضافة إلى ضرورة وجود أطر قانونية وقيمية تنظم نشر واستخدام هذه التكنولوجيا الجديدة، لتجنب الأضرار المترتبة على الخصوصية والمجتمع بشكل عام.

توصيات لتطوير آمن وفعال يراعي خصوصية المستخدمين
لتحقيق أقصى استفادة من هذه التقنية المتقدمة، يجب اعتماد معايير أمان صارمة تضمن حماية البيانات الشخصية وحفظ خصوصية المستخدم. من الضروري تطوير بروتوكولات تشفير متقدمة تضمن أن الأفكار المحوّلة إلى نصوص تُخزن وتُعالج ضمن بيئات أمنية معززة، تمنع أي تسرب أو اختراق. إضافة إلى ذلك، ينبغي اعتماد سياسة التحكم في الوصول بحيث يُسمح فقط للأشخاص المخولين والمستخدمين أنفسهم بالاطلاع على المعلومات الحساسة الناتجة عن الشريحة المزروعة.
لتعزيز الشفافية وتوفير تجربة استخدام تحترم الخصوصية، يتعين على المطورين الالتزام بمجموعة من المعايير:
- توفير واجهة واضحة تتيح للمستخدم التحكم الكامل في تشغيل وإيقاف الشريحة.
- إجراء اختبارات متكررة لضمان عدم وجود ثغرات أمنية قد تُستغل من جهات خارجية.
- تحديثات دورية للبرمجيات لضمان مواكبة أحدث تقنيات الحماية والحفاظ على الأداء.
- توضيح شروط الاستخدام بشكل واضح، مع ضمان مشاركة المستخدمين في صياغة السياسات الخاصة بمعالجة بياناتهم.
هذه الخطوات تساهم في بناء ثقة قوية بين المستخدم والتقنية، مما يضمن تبني أوسع يراعي الحقوق والخصوصية في آن واحد.
Wrapping Up
في خضم التطورات العلمية المتسارعة، تفتح الشريحة المزروعة في الدماغ آفاقاً جديدة لفهم أعمق لأفكار الإنسان وتحويلها إلى نصوص ملموسة، مما يعزز تواصلاً أكثر سلاسة بين العقل والتكنولوجيا. ومع كل خطوة يخطوها الباحثون في هذا المجال، يزداد اقترابنا من عصر ترتبط فيه الأفكار بكلمات تُكتب تلقائياً، فتُغير بذلك طرق تفاعلنا مع العالم من حولنا. يبقى التحدي في كيفية توظيف هذه الابتكارات بحذر ومسؤولية، لتصبح أداة تعزز القدرات البشرية دون المساس بخصوصية الفرد. المستقبل إذن، يحمل في طياته إمكانيات لا حدود لها، تنتظر منا اكتشافها بحكمة وانفتاح.

